📍 Buenos Aires 26°C ☀️
Cargando pronóstico...
- Publicidad -spot_img
InicioGeneralesHallan un gen que determina si las células de cáncer formarán metástasis...

Hallan un gen que determina si las células de cáncer formarán metástasis o se quedarán dormidas

- Publicidad -spot_img

Buenos Aires, 21 abril (NA) – Un estudio realizado en España logró demostrar que la metástasis no surge por azar sino que ya está determinada en un conjunto de células presentes en el tumor que origina el cáncer.

El trabajo, realizado por el Instituto de Neurociencias (IN), centro mixto del Consejo Superior de Investigaciones Científicas (CSIC) y la Universidad Miguel Hernández de Elche (UMH), reveló que las células que formarán metástasis pueden identificarse ya en el tumor primario.

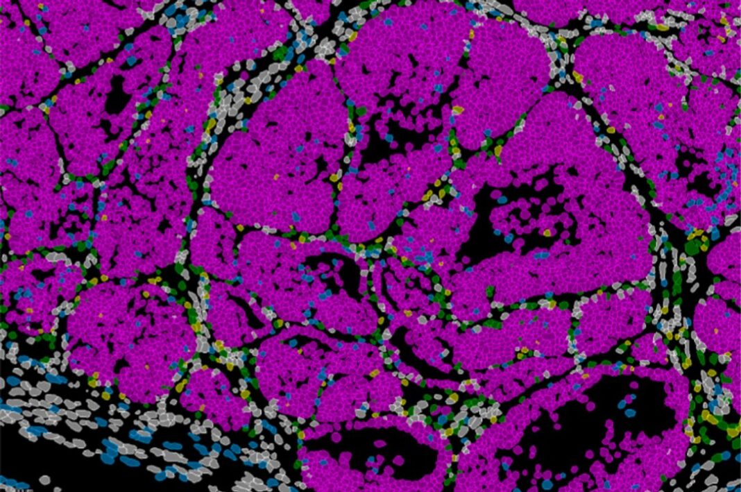
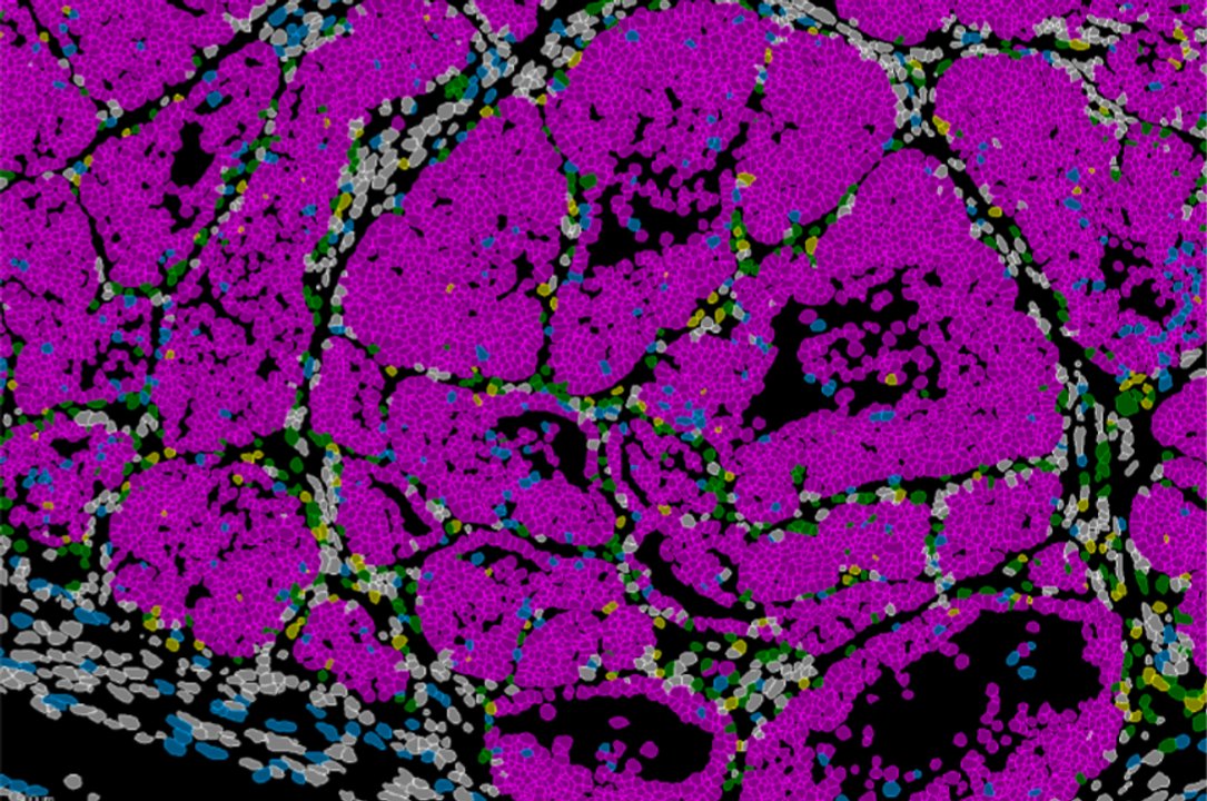
Según pudo saber la Agencia Noticias Argentinas, este estudio recientemente publicado en Nature Communications se realizó a partir de un modelo de ratón y de datos de pacientes.

EL GEN PRRX1

El trabajo muestra una población de células en el borde invasivo del tumor capaz de invadir y dividirse o de entrar en letargo. El gen Prrx1 es el encargado de regular este equilibrio, que determina la formación de nuevos focos tumorales en otros órganos, las temidas metástasis.

Este nuevo estudio, desarrollado por el laboratorio de Plasticidad Celular en Desarrollo y Enfermedad, dirigido por Ángela Nieto, demuestra que la capacidad metastásica no surge por azar ni depende únicamente del microambiente del órgano de destino. Por el contrario, el potencial metastásico ya está determinado en un conjunto de células presentes en el tumor que origina el cáncer. Estas células adoptan un estado altamente metastásico coordinado por un factor clave: el gen Prrx1.

“Lo más llamativo es que la cantidad de Prrx1 determina el efecto sobre las células cancerosas”, detalló Raúl Jiménez Castaño, primer autor del estudio. Este hallazgo ayuda a explicar una paradoja observada en muchos tumores: las células muy invasivas no siempre generan metástasis, y las más proliferativas tampoco suelen diseminarse.

“Sin Prrx1, las células no se diseminan; con niveles muy altos, se diseminan masivamente, pero pierden la capacidad de anidar y crecer en otros órganos. Sólo cuando presentan niveles intermedios alcanzan un equilibrio óptimo entre movilidad y crecimiento”, explica Nieto. En esas condiciones, las células combinan invasión y división celular, lo que las convierte en las más peligrosas desde el punto de vista clínico.

CÓMO SE REALIZÓ EL ESTUDIO

El equipo combinó modelos genéticos en ratón, análisis de célula única, estudios de cromatina y técnicas de transcriptómica espacial que permiten observar la organización y el comportamiento de las células directamente en el tejido tumoral.

De esa manera, los investigadores analizaron muestras de pacientes con cáncer de mama y detectaron patrones similares de expresión de Prrx1, lo que sugiere que el mecanismo descrito podría tener una relevancia directa en la clasificación y el pronóstico clínico.

En conclusión, los resultados aportan una nueva perspectiva sobre el origen del potencial metastático y abren la puerta al desarrollo de estrategias destinadas a impedir que las células tumorales alcancen ese estado particularmente peligroso. Por otro lado, brindan un marco para mejorar la clasificación de pacientes según marcadores que puedan predecir el riesgo de metástasis.

#AgenciaNA

- Publicidad -spot_img
- Publicidad -spot_img
Redes Sociales
16,985FansMe gusta
61,453SeguidoresSeguir
61,453SeguidoresSeguir
2,458SeguidoresSeguir
61,453SuscriptoresSuscribirte
Interesantes
- Publicidad -spot_img
Ultimas Noticias
- Publicidad -spot_img

DEJA UNA RESPUESTA

Por favor ingrese su comentario!
Por favor ingrese su nombre aquí